犬が急に歩けない。股関節脱臼は“整形の領域”


こんにちは!東京都大田区大森西にあります、イース動物病院です!
皆さんこんなことが起きたらどうしますか?
大切な愛犬が散歩やドッグランで遊んでいる時、寝起きに急に後ろ足を使わないときは皆さん心配になってすぐに病院に受診したくなりますよね。
当院ではこんなことがありました。数日前にお散歩行った後より急に後ろ足を使わない。すぐに座り込んでしまうようになった。ただ、他の動物病院では異常がない。疲れているだけ。と診断されたがどう見てもおかしい。というご相談があり当院の整形専門外来に受診されました。
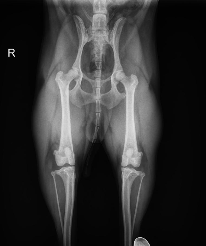
検査を進めていくと実は両方の股関節が脱臼していました。

飼い主様に1から現在起きている病状、治療方法やリスクをお話させていただき、手術を行いました。
現在は術後経過で通院をして頂き、その際にも整形専門獣医師の伊澤先生がリハビリのアドバイスを行い経過は順調に飼い主様もご満足いただいています。

実は股関節脱臼は股関節形成不全やなにかの拍子に脱臼してしまうことが身近におきています。
今回は「犬の股関節脱臼」という、一見よくあるように思われがちな整形外科疾患について詳しく解説していきます。
「脱臼って外れただけでしょ?戻せば終わりじゃないの?」 そんな風に思っていませんか?
実はその判断、とても危険です。
股関節の脱臼は、整形外科の知識と技術が問われる高度な対応が必要な疾患であり、一般的な動物病院での対応では、かえって状態を悪化させてしまうこともあるのです。 この記事では、股関節脱臼の原因、症状、治療方法、そしてなぜ整形専門外来での治療が重要なのかをお伝えします。

■ 犬の股関節脱臼とは?

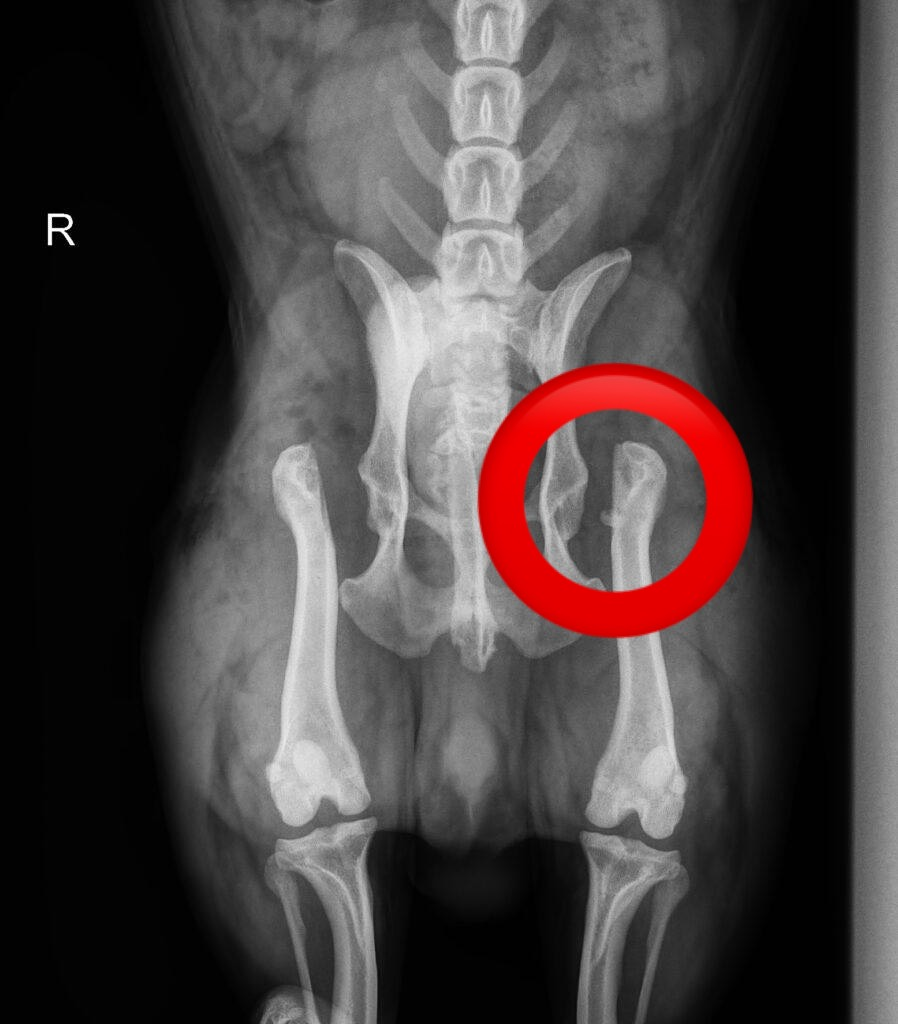
股関節は、「骨盤側の寛骨臼」と「大腿骨の骨頭」がボールとポケットのようにはまり込んで構成されています。この構造があるからこそ、スムーズな歩行や走行が可能なのです。
しかし、この連結部分が外れてしまうことを股関節脱臼(こかんせつだっきゅう)と呼びます。


正常な股関節


● 脱臼の主な原因

•事故や高所からの落下(交通事故・高い場所から飛び降りなど)
•関節の形成不全(特に若齢の中〜大型犬)
•先天的な靭帯の緩みや異常
•小型犬に多い膝蓋骨脱臼との関連一度脱臼してしまうと、関節の靭帯が損傷し、骨と骨が正常な位置に戻らなくなるため、歩行困難や強い痛みを伴います。

■ 脱臼時に見られる主な症状

•突然、後ろ足を地面につけない
•歩き方がおかしい(スキップのような歩様)
•足を後方や外側に変な角度で保持している
•痛みで鳴く・動きたがらない
•立ち上がれない
これらの症状が見られた場合、すぐに整形外科対応が可能な病院を受診すべきです。

■ なぜ整形外来での診断が必要なのか?

ここが非常に大事なポイントです。
● 一般的な病院では「外れたものを戻す」だけになりがち

股関節脱臼の初期対応として、全身麻酔下で「整復」と呼ばれる外れた関節を元に戻す処置が行われます。しかし…
「整復すれば治る」と考えるのは大間違いです。
脱臼後の関節には強い炎症や靭帯の損傷が残っており、元の状態に戻ってもすぐに再脱臼するリスクが非常に高いのです。
にもかかわらず、一般的な動物病院では、
•痛み止めと安静の指示だけ
•整復して終了
•抜けやすくなっていることを見逃す
といった対応が取られてしまうケースも多く見られます。
その結果、
•数日〜数週間で再脱臼
•歩けなくなって再来院
•治療の選択肢が限られてしまう
という最悪のケースにつながることがあります。

■ 整形専門医ならではの対応とは?

整形外来では、股関節脱臼の原因を「整復で戻す」以上に深く分析し、根本的な治療方針を立てます。

● 専門的な検査

•対側の股関節とのバランスチェック
•関節周囲の筋肉・靭帯の状態の評価

● 再脱臼のリスクに応じた治療

•整復後も再脱臼しそうな場合は外科手術の選択
これらの治療法は、専門知識・経験・設備を備えた整形外科対応病院でなければ対応できません。

■ 治療しないとどうなる?


股関節脱臼を放置、あるいは不完全な処置で済ませてしまうと…
•慢性的な痛みと跛行(歩き方の異常)
•股関節周囲の筋肉が萎縮
•関節の変形(骨関節症)
•将来的に歩けなくなるリスク
「痛み止めで様子を見ましょう」は、時間とお金を無駄にするだけでなく、犬の生活の質(QOL)を大きく下げる結果になります。


■ 飼い主さんが取るべき行動

もしも愛犬が急に足を挙げて歩かなくなったら、まずは「脱臼かも」と疑ってください。
そして、以下を実行してください:
1.抱き上げて患部を無理に触らない
2.動画を撮影しておく(歩行の様子)
3.股関節整形に対応可能な動物病院に連絡する
4.紹介が必要なら、早急にかかりつけの病院で紹介状をもらう


■ 最後に:専門医による対応が明暗を分けます

股関節脱臼は、「整形外科の知識と経験が治療結果を大きく左右する病気」です。 安易に整復して「とりあえず様子を見ましょう」は、治療ではなく時間稼ぎにしかなりません。
当院では、整形外科対応を専門とする獣医師の外来を設けています。 専門知識・設備を駆使し、根本的な治療と回復を目指した対応を行っています。

専門知識・設備を駆使し、根本的な治療と回復を目指した対応を行っています。
大切な愛犬の足を守るために
繰り返す脱臼に悩まされないために 将来、歩けなくなる不安を防ぐために
「ただの脱臼」では済まない。 だからこそ、最初の判断が、すべてを決めるのです。
当院では毎週月曜日に整形専門外来を行っています。
股関節脱臼と診断されたがもとに戻しただけ。昔股関節脱臼したが、もう一度診察してもらいた。股関節脱臼と診断された。後ろ足が痛そう。など些細なことからでもご相談くだ
さい。
当院の整形専門外来では診察、検査ご説明まで行い飼い主様達スタイルに合わせた治療方針をご提案させていただきます。
少しでも不安があれば何でもご相談ください。