その動き、見逃さないで。猫の骨端軟骨形成と整形専門外来の重要性
こんにちは。東京都大田区大森西にありますイース動物病院です。
猫ちゃんは本来、高いところにジャンプしたり、棚やキャットタワーの上から周囲を見渡したりする、とても運動能力の高い動物です。
上下運動やジャンプは、猫にとって「当たり前の行動」であり、健康のバロメーターのひとつでもあります。
しかし当院ではこんなご相談がありました。
最近、
「高いところに登らなくなった」
「ジャンプを失敗するようになった」
「歩き方が少しぎこちない気がする」
このような相談で当院の整形専門外来に受診されました。
検査の結果 骨端軟骨形成と診断がつきました。

軟骨形成不全

正常
みなさんはこのような変化を感じたことはありませんか?
実はその変化、単なる性格や年齢の問題ではなく、整形外科的な疾患が隠れている可能性があります。
猫の病気の中でも、特にスコティッシュフォールドでよく知られている「スコ病」という言葉を耳にしたことがある方も多いと思います。
その代表的な疾患のひとつが、今回お話しする猫の骨端軟骨形成不全です。
猫の骨端軟骨形成とは
猫の骨端軟骨形成は、猫にみられる比較的まれな遺伝性の整形外科疾患です。
骨の成長に重要な「骨端軟骨」が正常に発達しないことで、骨や関節に異常が生じます。
この疾患は成長とともに症状が進行することが多く、
・関節の変形
・慢性的な痛み
・運動能力の低下
などを引き起こします。
特に重要なのは、見た目では分かりにくい初期段階から、すでに関節には負担がかかっているという点です。
そのため、早い段階で整形外科的な評価を行うことが、将来の生活の質を大きく左右します。
【症状】こんなサインはありませんか?
骨端軟骨形成では、以下のような症状がみられることがあります。
・歩き方の異常
歩くときに足をかばうような動きや、ふらつき、不自然な歩行がみられることがあります。
「走らなくなった」「ゆっくりしか歩かない」と感じる場合も要注意です。
・関節の変形
骨の成長異常により、特に膝や肘、足先の関節に変形が起こることがあります。
触るとゴツゴツしていたり、左右差がある場合もあります。
・成長の遅れ・体型の違和感
同じ月齢の猫ちゃんと比べて体が小さい、足が短く見えるなど、体型に違和感を覚えることがあります。
・痛みや不快感
痛みを感じている猫ちゃんは、
・触られるのを嫌がる
・怒りっぽくなる
・動くことを避ける
などの行動変化を見せることがあります。
猫は痛みを隠す動物です。
「動かない=楽をしている」ではなく、**「動けない・動きたくない理由がある」**ことを見逃さないことが大切です。
【診断】整形外科的な評価がとても重要です
骨端軟骨形成の診断には、
・歩行や姿勢のチェック
・関節の可動域や痛みの確認
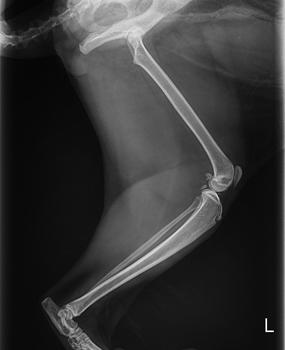
・レントゲン検査などの画像診断
が必要になります。
特にレントゲン検査では、骨や関節の状態を詳しく確認することができ、
「どの関節に」「どの程度の変化が起きているのか」を正確に把握できます。
この評価は、整形外科の知識と経験が非常に重要であり、今後の治療方針を決める上で欠かせません。
【治療】整形外科的管理で生活の質は大きく変わります
治療は猫ちゃんの症状や進行度に応じて行います。
・薬物療法
痛みや炎症をコントロールすることで、日常生活を楽にします。
・栄養療法
関節や骨の健康をサポートする食事やサプリメントを取り入れ、負担を軽減します。
・運動
・リハビリ管理
無理のない運動や環境調整により、関節への負担を最小限に抑えます。
【予防と早期発見のために】
遺伝性疾患のため完全な予防は難しいですが、
・信頼できるブリーダーから迎える
・日頃から歩き方や行動を観察する
・少しでも違和感があれば早めに受診する
ことがとても大切です。
特に「年齢のせいかな」「性格かな」と思われがちな変化こそ、整形疾患のサインであることが少なくありません。
【整形専門外来のご案内】
当院では毎週月曜日に整形専門外来を行っております。
・最近あまり歩かない
・高いところに登らなくなった
・ジャンプをしなくなった
・触ると嫌がる場所がある
このような症状は、整形外科的な評価が強くおすすめされるサインです。
「こんなことで相談していいのかな?」という段階でも構いません。
早期に整形専門医が評価することで、将来の痛みや進行を防げる可能性があります。
猫ちゃんの「動き」が気になったら、ぜひ整形専門外来をご利用ください。
